Una persona murió por leptospirosis en el departamento de San José y ya son dos los fallecidos en lo que va del año.
Murió una persona por leptospirosis en San José; ya son dos los fallecidos en lo que va del año
Desde el Ministerio de Salud Pública señalaron que los casos son habituales y que cuando aumenta la temperatura y la humedad se registran más.
La directora del Departamento de Vigilancia en Salud del MSP, Nataly Rodríguez, dijo a Subrayado que los casos de leptospirosis son habituales en Uruguay y que se presenta a lo largo del año, y cuando aumenta la temperatura y la humedad, pueden contabilizarse más.
"Puntualmente estos casos fallecidos son personas que tienen el diagnóstico de la enfermedad, pero no necesariamente la causa determinante de su fallecimiento está vinculada a la leptospirosis. Esta es una infección bacteriana que justamente la provoca la bacteria leptospire que puede ser transmitida por animales, tanto silvestres como domésticos, y que sobretodo se elimina a través de la orina de un animal infectado y puede ingresar al organismo a través de la piel que no esté íntegra, a través de las mucosas. Puede evolucionar de manera más grave o generar cuadros más complejos".
Antes, durante y después: qué hacer ante la posible llegada de un ciclón extratropical con fuertes vientos
En lo que respecta a las medidas de prevención, la directora señaló que hay que evitar la exposición de esta piel a donde exista el riesgo de haber orina de animales infectados, como los roedores. Además, aconsejó cubrir las mucosas y la piel y extremar las medidas de higiene.
Es importante consultar ante la aparición de síntomas para recibir el tratamiento oportuno. Los mismos pueden ser fiebre, decaimiento, dolor muscular y síntomas digestivos.
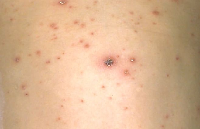
Por otra parte, Rodríguez se refirió al seguimiento que realiza la certera de los brotes de varicela y que siempre existen un determinado número de casos, por lo que algunos años puede registrarse un aumento o brotes.
Los mismos se dan en ámbitos intrafamiliares, institucionales, educativos, laborales e involucran a la población susceptible, es decir a quienes no recibieron dos dosis de vacunas o nunca hayan cursado la enfermedad.
Lo más visto


Dejá tu comentario